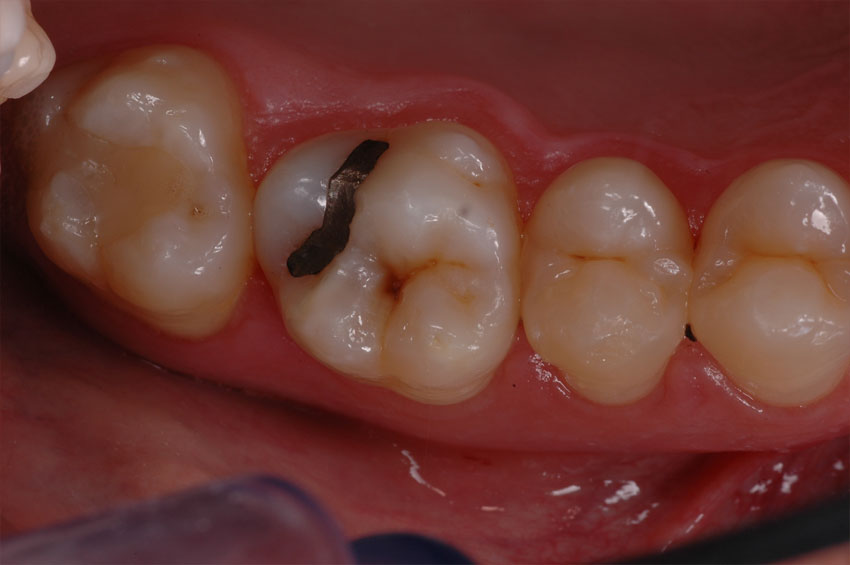
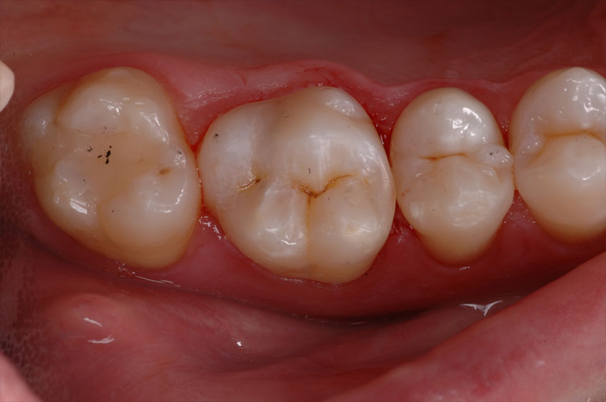
La moderna odontoiatria conservativa si occupa del restauro di elementi dentari compromessi da processi cariosi o usure.
Grazie all’avvento di nuove tecniche e materiali compositi che simulano perfettamente il dente naturale, si è aperta una gamma di interventi di estetica fino a qualche anno fa non immaginabili, caratterizzati dalla loro minima invasività e dalla loro durata nel tempo, realizzabili sia nei settori anteriori che posteriori della bocca.
Grazie alle innovative tecniche di sbiancamento è possibile anche ridare luminosità ad un sorriso senza alterare la struttura del dente.







