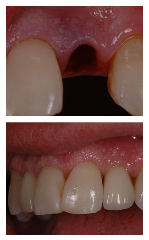
Implantologia è la disciplina più moderna nel campo odontoiatrico che permette riabilitazioni protesiche fisse in pazienti edentuli.
Questa branca si occupa di sostituire le radici perse con strutture in titanio che supportano elementi protesici. Grazie agli impianti è possibile sostituire denti singoli, intere arcate, selle edentule, stabilizzare dentiere.
Con l’apporto della chirurgia computer guidata in carico immediato la riabilitazione si realizza in poche ore e con un minimo disconfort post operatorio.


