Protesi: la riabilitazione tramite protesi fisse o rimovibili.
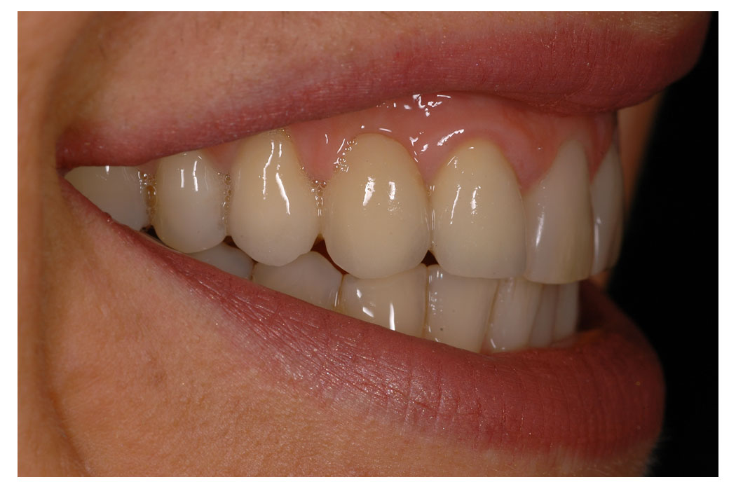
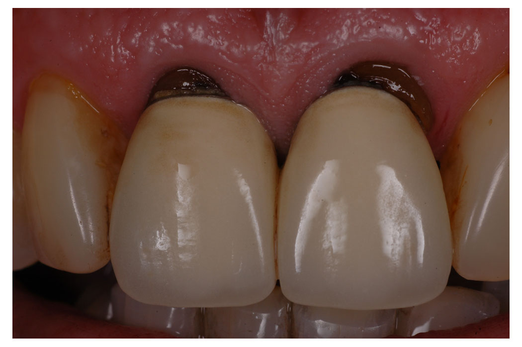
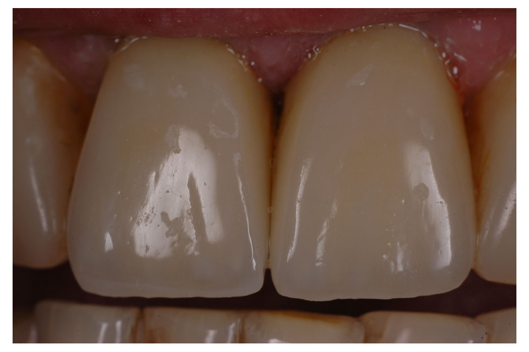
È la branca che si occupa di ripristinare dal punto di vista morfo funzionale elementi dentari compromessi o persi.
È la branca che si occupa di ripristinare dal punto di vista morfo funzionale elementi dentari compromessi o persi.