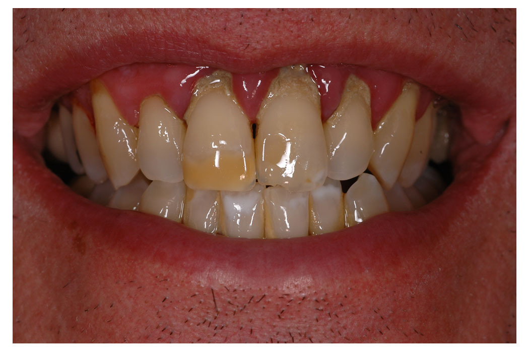
Igiene orale e Parodontologia (dal greco para = attorno, odontos = dente) sono le terapie che si occupano di curare i tessuti che stanno attorno al dente (osso e legamento parodontale). Sinteticamente le fasi per la cura di questa grave malattia cronica della bocca che prende il nome di parodontite o piorrea si dividono in 3 momenti:
· FASE DIAGNOSTICA: si esegue un sondaggio che ha lo scopo di misurare la profondità delle tasche parodontali, si valuta il sanguinamento gengivale dopo il sondaggio e la quantità di placca presente sui denti, raccogliendo tutti questi dati in una cartella.
Inoltre vengono eseguite una serie di radiografie endorali con le quali si valuta l’architettura dell’osso residuo.
· FASE EZIOLOGICA: lo scopo di questa fase è di rimuovere tutti gli agenti causali della malattia parodontale (asportazione del tartaro sopra e sotto gengiva e levigatura radicolare), si insegnano quindi le corrette norme di igiene orale, al fine di permettere una guarigione.
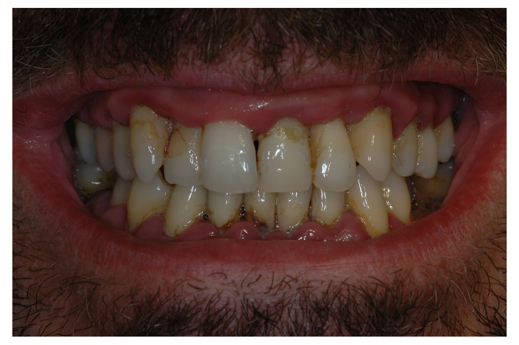
· FASE CHIRURGICA: dopo 3 mesi circa dalle levigature, si esegue una rivalutazione confrontando i dati attuali con i dati presenti nella cartella precedente e qualora necessario, si passa alla fase chirurgica per correggere eventuali situazioni non risolte con lo scaling e root planing.
· MANTENIMENTO: è una fase fondamentale per continuare ad avere una bocca sana. Durante il mantenimento si verifica l’apprendimento delle manovre di igiene orale e si ricontrolla lo stato di salute del parodonto.


